
대상포진은 단순한 피부질환이 아닙니다. 한 번 걸리면 극심한 통증과 신경 손상, 후유증까지 남을 수 있는 무서운 질환이죠. 특히 50대 이상에서는 그 위험이 더 커집니다. 이 글에서는 대상포진 예방접종 가격, 접종 시기, 백신 종류, 지자체 지원 여부, 그리고 실손보험 적용 가능성까지 꼼꼼하게 안내해드립니다.
🦠 대상포진이란? 원인과 증상



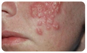
대상포진은 수두를 일으키는 Varicella Zoster Virus(수두-대상포진 바이러스)가 신경에 숨어 있다가 면역력이 약해질 때 다시 활성화되면서 발생합니다.
주요 증상
- 타는 듯한 통증: 초기에 찌릿한 통증부터 시작
- 수포: 주로 몸의 한쪽에 띠 모양으로 발생
- 감각 이상 및 신경통: 후유증이 수개월~수년 지속 가능
- 피부 색소침착, 시력·청력 손상 가능성
바나듐 쌀 가격 효능 재배 생산지(+구입 파는곳)
바나듐쌀은 최근 건강을 중시하는 소비자들 사이에서 주목받는 기능성 쌀입니다. 특히 혈당 조절에 도움을 줄 수 있어 당뇨 환자나 건강 관리에 관심 있는 분들에게 인기가 높습니다. 아래는 바
9988341.com
💉 대상포진 예방접종 종류 및 가격



현재 국내에서 접종 가능한 대상포진 백신은 2종류입니다.
1. 싱그릭스 (Shingrix - 사백신)
- 접종 횟수: 2회 (2~6개월 간격)
- 1회 가격: 18~30만 원
- 총 비용: 36~60만 원
- 예방 효과: 90% 이상
- 특징: 면역저하자도 접종 가능, 고령층 권장
2. 조스타박스 (Zostavax - 생백신)
- 접종 횟수: 1회
- 가격: 10~17만 원
- 예방 효과: 50~60%
- 특징: 간편하지만 면역저하자 금지
💡 싱그릭스는 고비용이지만 효과가 우수하며, 특히 60세 이상, 면역력 약한 분들께 강력히 추천됩니다.
🏥 대상포진 예방접종 가격은 왜 병원마다 다를까?



가격 차이의 주요 원인
- 백신 종류 (생백신 vs 사백신)
- 병원 규모 (대형 병원 > 동네 의원)
- 진료비 포함 여부
- 지역별 물가 및 의료 서비스 차이
- 패키지 할인 여부
✅ 가격비교 꿀팁: 건강보험심사평가원 비급여 진료비 정보 사이트 또는 가까운 병원에 전화 문의하세요.
무궁핏 부작용 효능 복용법 다이어트(+내돈내산 후기)
무궁핏 다이어트, 실제 효과가 있을까요? 무궁핏 부작용부터 복용법, 효능, 가격, 그리고 내돈내산 후기까지 꼼꼼히 정리했습니다. 남자도 먹을 수 있을까? 무궁핏의 모든 것을 확인해보세요!🌸
9988341.com
📍 지역별 대상포진 예방접종 가격비교


| 지역 | 싱그릭스(1회당) | 조스타박스 |
| 서울 | 28~30만 원 | 13만 원 |
| 부산 | 25만 원 | 11만 원 |
| 대전, 인천 | 20~26만 원 | 10~12만 원 |
| 보건소 | 생백신 위주 / 일부 무료·할인 운영 |
🧾 건강보험 & 실비보험 적용 가능성은?



건강보험
- ❌ 적용 안 됨 (비급여 항목)
- ✅ 일부 지자체 무료지원/할인 가능
실손보험
- ❌ 예방 목적 접종은 대부분 보장 불가
- ✅ 치료 목적일 경우 일부 적용 가능 (단, 보험사 약관 확인 필수)
🧬 백신 선택 가이드: 조스타박스 vs 싱그릭스

| 항목 | 조스타박스 | 싱그릭스 |
| 백신 종류 | 생백신 | 사백신 |
| 접종 횟수 | 1회 | 2회 |
| 예방효과 | 50~60% | 90% 이상 |
| 면역저하자 | 접종 불가 | 접종 가능 |
| 가격 | 10~17만 원 | 36~60만 원 |
마데카솔겔 효능 부작용 수분크림 파는곳 가격(+얼굴 주름 여드름 성분)
상처 치료는 물론 여드름 흉터, 얼굴 주름 케어까지! 마데카솔겔의 핵심 성분인 병풀 추출물 효능부터 수분크림과의 조합 사용법, 부작용 주의사항, 약국과 온라인 파는 곳, 가격 정보까지 2025년
9988341.com
📅 대상포진 예방접종 시기와 주기


- 언제?: 연중 접종 가능, 환절기나 피로 누적 시기 추천
- 주기: 조스타박스는 5년, 싱그릭스는 10년 이상 효과 지속
🕒 대상포진 발병 후 치료보다 예방이 훨씬 경제적이고 효과적입니다.
👩⚕️ 대상포진 예방접종 권장 대상자



- 50세 이상 중장년층
- 면역저하자 (항암치료 중, 장기이식 등)
- 만성질환자 (당뇨, 고혈압, 심장병 등)
- 과거 대상포진 경험자
- 스트레스 많은 직장인
이경실 아파트 경매
개그우먼 이경실 씨의 아파트가 경매에 넘어갔다는 소식이 전해지며, 많은 이들의 이목이 집중되고 있습니다. 특히 이경실 씨는 오랜 세월 대한민국을 대표하는 코미디언으로 활동하며 대중적
9988341.com
🔍 병원 방문 전 체크리스트



- ✅ 백신 종류 확인 (생백신? 사백신?)
- ✅ 접종 비용 진료비 포함 여부 확인
- ✅ 백신 재고 및 예약 가능 여부
- ✅ 예방접종 증명서 발급 가능성
- ✅ 실비보험, 단체보험 보장 여부
🏛 지자체 대상 대상포진 예방접종 무료 지원



2025년 기준 무료/할인 접종 가능 지역 예시
- 서울 강동구: 65세 이상 무료 접종
- 부산 북구: 50% 지원
- 대전 유성구: 생백신 무료 / 싱그릭스 70% 할인
- 기초생활수급자, 차상위계층: 추가 지원
📌 지자체 복지과, 보건소에 문의해서 본인 조건 확인하세요!
알부민의 효능 수치 주사 가격(+영양제 추천)
알부민은 우리 몸에서 중요한 역할을 하는 단백질로, 건강 상태를 평가하는 지표로도 활용됩니다. 이번 글에서는 알부민의 효능부터 수치, 주사 가격, 영양제 추천까지 자세히 알아보겠습니다.
9988341.com
💡 대상포진 예방접종의 경제적 가치



- 예방접종 1회 비용: 10~60만 원
- 대상포진 치료비 + 신경통 치료: 수백만 원 가능성
- 후유증 지속 기간: 수개월~수년
- ✅ 조기 예방이 경제적 손실과 고통을 줄이는 최선의 방법
🧠 마무리: 지금이 대상포진 예방접종의 최적기!



대상포진은 면역력이 떨어질수록 찾아오는 무서운 질환입니다. 그 고통은 겪어보지 않으면 모릅니다. 지금 예방접종을 고려하신다면, 정보만 검색하다 놓치는 일 없도록, 가까운 병원에 문의하고 지자체 혜택까지 꼼꼼히 확인해보세요.
✅ 대상포진 예방접종은 '비용'이 아닌 '투자'입니다.
✅ 예방이 최고의 치료입니다.
✅ 내 몸을 지키는 현명한 선택, 오늘 바로 실천하세요.
슬로우조깅 방법 효과 속도 건강법(+다이어트)
느리게 달리면서도 건강을 챙기고 체중까지 감량할 수 있는 운동이 있다면 믿으시겠어요? 바로 '슬로우조깅'입니다. 슬로우조깅은 걷기와 달리기의 장점을 모두 담은 운동법으로, 관절 부담은
9988341.com
간병인 보험 추천 단점 비교(+가입나이)
고령화 시대, 간병인 보험은 이제 선택이 아닌 필수가 되어가고 있습니다. 부모님의 노후 준비는 물론, 나 자신을 위한 대비도 필요해진 지금, 어떤 간병인 보험을 선택해야 할지 고민되시죠? 이
9988341.com
위고비 가격 효과 비교 지도 한달 (+비만 치료제 위고비 가격)
비만은 단순한 미용의 문제가 아닌 건강과 직결되는 중요한 문제입니다. 이러한 가운데, 최근 국내에도 본격 도입된 비만 치료제 위고비(Wegovy)가 큰 주목을 받고 있습니다. 이 글에서는 위고비
9988341.com
콜드플런지 효과 효능 원리 방법(+제니 콜드 플런지)
콜드플런지(Cold Plunge)는 최근 건강과 웰니스 분야에서 주목받고 있는 수치료법입니다. 특히 블랙핑크의 제니가 피로 회복과 정신적 안정의 방법으로 소개하면서 더욱 관심을 끌고 있습니다. 이
9988341.com
MG손해보험 파산
최근 MG손해보험의 파산 위기가 현실화되면서 124만 명의 가입자와 600여 명의 직원들이 큰 불안에 휩싸였습니다. 특히 실손보험 가입자들은 보장 공백에 대한 우려가 커지고 있습니다. 이번 글에
9988341.com
'건강' 카테고리의 다른 글
| 신장 이상 증상 (2) | 2025.05.18 |
|---|---|
| 리포직 점안겔 사용법 가격 (0) | 2025.05.18 |
| 산과 부인과 차이 (4) | 2025.05.17 |
| 니파바이러스 증상 국내 감염증 치사율 치료제(+니파바이러스 관련주) (2) | 2025.05.16 |
| 당뇨초기증상 갈증 소변 거품 가려움 (0) | 2025.05.13 |